class="CmsEditor cms FullWidth">

 

I want my teeth cleaned

image

  • Routine hygiene cleaning
  • Stain removal treatment
  • Air flow Polishing
  • Gum disease treatments

Our experienced dental team will first examine your teeth and gums to determine the level of cleaning needed. This helps us tailor the treatment to your specific oral health needs

Read More

I want whiter teeth

image

  • Predictable results
  • B1 shade guarantee
  • Preserves natural tooth structure
  • Split payments

Our professional whitening kit is designed to be a 'do it once, do it right' solution, delivering predictable results with a shade guarantee so you will be left with results you are truly happy with.

Read More

I want straighter teeth

image

  • Specialist-led orthodontic treatment
  • Braces for teenagers, and adults
  • Interceptive treatments for pre-teens.
  • Choice of brace systems available – metal, ceramic, or clear aligners

Book a consultation with our specialist orthodontist for just £70 and begin your journey towards straighter teeth and a more confident, beautiful smile.

Read More

I want to improve my smile

image

  • Stain removal
  • Professional teeth whitening
  • Teeth straightening
  • Composite bonding
  • White fillings
  • White crowns and veneers
  • Replacing missing teeth

Book a consultation with our specialist orthodontist for just £70 and begin your journey towards straighter teeth and a more confident, beautiful smile.

Read More

I have a broken tooth

image

  • Pain
  • Chipped tooth
  • Chipped filling
  • Sensitive tooth
  • Lost filling

If you're experiencing any of these issues, book a check-up with us. We’ll assess the problem and provide a range of treatment options to help relieve your symptoms and restore your oral health.

Read More

I have a toothache

image

  • Toothache or dental pain that keeps you awake or affects eating and drinking
  • Swelling around the gums, face or jaw
  • Broken, chipped or cracked teeth
  • A knocked-out tooth
  • Lost fillings, crowns or bridges
  • Bleeding or trauma following an accident
  • Infected teeth or dental abscesses

Read More

Prompt access to high quality, affordable care

We are your local, family- run dental practice in Leicester and Leicestershire.

From a routine check-up and clean to more complex procedures, we offer a wide range of dental treatments that can tailored to you and your family’s needs.

Your teeth deserve the best care, our aim is to provide each patient with a high-quality care in a modern, relaxing and welcoming environment.

Evening and Saturday appointments

Evening & Saturday appointments available Appointments to suit your schedule

Conveniently located in Leicester

Accessible via main roads – M1, A50, A563 Ample off-road parking Good public transport links – served by major bus routes

No waiting lists

No waiting lists

State of the art facilities

Content

Choice of affordable payment options

Choice of affordable payment options.

We look forward to welcoming you
About Our Practice
Miss Serena Patel | General Dentist BDS (Sheff), MJDF (RCS Eng), DRDP (UCL Eastman)

Treatments and special offers

Contact us today to discuss your needs with our highly qualified, caring team.

Please indicate a suitable time for any appointment we may need to schedule for the issue you have detailed above.

image

Our Caring Team

image

Mr Sunil Patel

BDS (Lond), LDS, DGDP (RCS Eng), MSc Dental Materials (with dist, QMUL), DOrth (Aarhus), PgCert Dental Education Specialist Orthodontist

Meet Mr Surendra Patel - an experienced and skilled orthodontist with over 30 years of experience.

Read More
image

Miss Serena Patel

BDS (Sheff), MJDF (RCS Eng), DRDP (UCL Eastman) General Dentist

Miss Patel is known for her kind and understanding approach to dental care, making every dental visit a reassuring and positive experience.

Read More
image

Mrs Daksha Patel

BSc Law & Economics, NEBDN Diploma in Dental Nursing, PgDip in Orthodontic TherapyFront of House

Mrs. Patel is more than just the friendly face that greets you at the door, she is our front of house and dental nurse.

Read More

What our patients say

Beyond the dental practice, Miss Patel enjoys staying active, cooking, photography, travelling and learning languages.

Miss Patel is renowned for her warm, approachable manner amongst patient of all ages and her ability to ease the...

Testimonial Name

She really put me at ease, I am so frightened of dentist’s. I feel confident with the treatment advised.”

Testimonial Name

“From my experience, I found Miss Patel to be very reassuring and she explains everything to with the treatment she performs, I am very happy with her.”

Testimonial Name

“ Very good treatment. Open, friendly demeanour putting me at ease and did a good job despite a problematic extraction. I am normally anxious but Miss Patel managed to keep me calm. I am pleased with my treatment and service.”

Testimonial Name

“ I didn’t even the realise the tooth was out, I am very happy.”

Testimonial Name
image

Real People. Real Results.

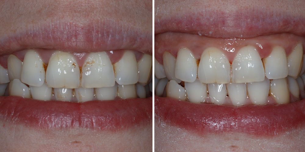
image
Before
After
  • TREATMENTS:

    Teeth Whitening

image
Before
After
  • TREATMENTS:

    Stain Removal

image
Before
After
  • TREATMENTS:

    Composite Bonding

image
Before
After
  • TREATMENTS:

    Missing Teeth

 
image